사무실에서 앉아서 일하거나 무거운 것을 많이 운반하시는 분들
대부분은 허리통증을 호소하고 있습니다.
단순 근육통일 가능성도 있지만
본인도 모르게 허리디스크를 키우고 있을지도 모릅니다.
허리디스크인지를 알고 싶고 원인을 알고
이를 해결하기 위한 방안에 대하여 알아보도록 합시다

■ 허리디스크 증상, 원인
- 허리디스크란?
허리디스크란 무엇일까요?
허리디스크는 요추 추간판 탈출증으로
요추사이에 존재하는 추간판이 외부의 충격이나 퇴행성질환에 의하여 튀어나와
척수나 신경을 압박하여 허리통증, 저림, 근력약화, 운동제한 등을 일으키는 질병입니다.
그렇다면 허리디스크의 증상에는 어떤 것이 있을까요?
허리만 아프다고 해서 허리디스크 일까요?


- 허리디스크 증상
허리 디스크는 탈출된 추간판이 신경과 척수를 압박하는 만큼
허리통증 외에도 다양한 증상을 갖습니다.
허리 디스크의 증상은 다음과 같습니다.
- 허리통증
- 허리, 엉덩이, 다리저림
- 무릎 통증
- 발등 통증
- 엄지발가락 끝을 쿡쿡 찌르는 통증
- 발 뒷꿈치가 찌릿찌릿한 통증
- 종아리가 뻐근하고 터질듯한 느낌
- 다리에 힘이 안들어가는 느낌
- 허리통증 시 누우면 통증이 감소되는 경우
위의 증상들은 허리 디스크 환자들이 호소하는 대체적인증상이며
환자에 따라 호소하는 증상이 다를 수 있습니다.
- 허리디스크 원인
그렇다면 이 허리 디스크는 어떤 원인에 의하여 발생하게 될까요?
발생원인은 다음과 같이 다양하게 구성되어 있습니다.
- 무거운 물건을 많이 자주 옮겨 허리에 무리가 가는 경우
- 노화로 인한 디스크의 퇴행성 변화
- 교통사고 등으로 인한 외부의 강한 충격
- 의자에 오래 앉아 컴퓨터, 스마트폰을 하는 경우
- 다리를 꼬면서 앉거나 양반다리를 오래 지속적으로 하는 경우
- 한쪽 근육만 지속적으로 사용하여 몸의 불균형이 생긴 경우
- 운동부족으로 인하여 허리를 지탱해주는 근육이 약해진 경우



■ 허리디스크의 예방과 관리
- 허리디스크 예방과 관리
허리디스크는 예방과 관리가 필수적입니다.
조금만 방심하면 더 악화 될 수 있기 때문입니다.
그렇다면 해야하는 행동과 하지말아야하는 행동에 대해 알아보겠습니다.


- 허리디스크 환자가 해야하는 행동
- 바른자세 유지( 등받이 있는 의자 사용 등)
- 걷기 운동(하루 30분 이상)
- 장시간 앉아 있는 경우 1시간에 1번씩 일어나서 걷기
- 허리를 뒤로 살짝 젖혀주는 스트레칭
- 맨몸 스쿼트, 계단 오르기 등
허리 근력과 다리 근력을 강화하는 운동(중량, 과한 횟수X)
- 체중조절
- 두부, 사골, 표고버섯, 부추 등 척추, 무릎 건강에 좋은 음식 섭취하기


- 허리디스크 환자가 하지 말아야 할 행동
- 다리를 꼬거나 장시간 앉아 있는 습관
- 중량운동, 윗몸 일으키기, 레그레이즈 같은 허리에 무리를 주는 운동
- 무거운 물건을 드는 행동
- 바르지 않은 자세로 컴퓨터나 스마트폰 하기
- 엎드려서 책, 스마트폰, 컴퓨터 보기
- 종아리를 당기거나 허리를 구부리는 운동 및 스트레칭




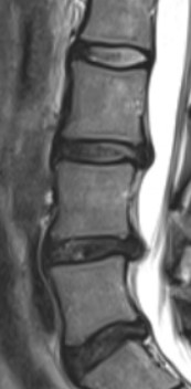
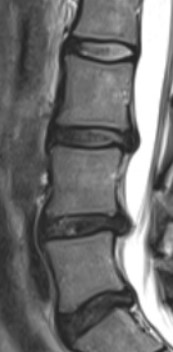
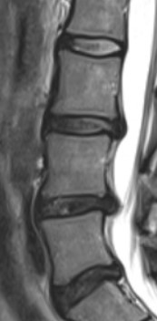
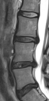
■ 허리디스크의 진단과 치료
허리디스크는 MRI, CT, 근전도 검사를 통하여 진단할 수 있습니다.
허리디스크의 경우 정도에 따라 다양한 치료 방법이 있습니다.
- 물리치료
추간판에 가해지는 부담을 줄여주기 위하여 물리치료를 진행합니다.
복대와 보조기를 이용하여 허리근육을 강화 시킴과 동시에
도수치료 또는 추나요법을 통하여 불균형한 몸을 교정함으로서 치료 할 수 있습니다.
- 약물치료
디스크 통증 발생 부위에 스테로이드 주사를 투여하여
통증과 염증을 감소 시키는 방법 입니다.
더불어 근육이완제나 소염제를 처방하기도 합니다.
- 신경성형술
아주 얇은 관을 척추관에 삽입하여 약물을 주입하는 방법으로
국소마취를 통하여 진행하므로 비교적 안전하고
효과가 좋습니다.
- 수액성형술
튀어나온 수액을 고주파를 통하여 돌출을 완화하는 시술입니다.
비침습적으로 염증, 통증이 없는 방법이나 디스크 파열환자에게는
사용할 수 없습니다.
- 수술치료
수술치료는 인공디스크로 대체하는 인공디스크 치환술, 미세현미경 레이저수술,
국소마취를 통한 내시경 레이저 수술이 있습니다.
허리디스크는 남녀노소 가릴 것 없이 누구나 찾아올 수 있습니다.
허리디스크는 불편하고 고통스러운 질병이기에
평소에 운동과 자세 관리를 통하여
허리디스크 예방에 힘쓰시기 바랍니다.
'건강 지쓰익' 카테고리의 다른 글
| 가래 없애는 방법과 가래에 좋은 음식 알아보기 (0) | 2023.04.27 |
|---|---|
| 발가락, 발바닥 티눈, 굳은살 생기는 이유 및 제거 방법 (0) | 2023.04.26 |
| 손톱 세로줄로 보는 건강상태, 손톱 세로줄 관리 (0) | 2023.04.12 |
| 당뇨 초기증상, 저혈당, 혈당 정상수치, 혈당 낮추는 법 알아보기 (0) | 2023.04.06 |
| 혈압 정상수치, 혈압 낮추는 법 알아보기 (0) | 2023.04.04 |
댓글